Periodontal Disease in Dogs and Cats
At Eastcott Referrals, our specialist Dentistry, Oral and Maxillofacial Surgery (DOMS) team is highly experienced in managing periodontal disease in pets. This very common condition, which affects the structures supporting the teeth, can cause pain, tooth loss and even contribute to other health problems if left untreated. Our specialist-led approach ensures thorough diagnosis, advanced treatment and long-term care for every patient referred to us.
What is Periodontal Disease?

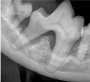
Both the lower right 1st and second molar teeth are affected by severe bone loss due to periodontitis
Periodontal disease affects the tissues that hold the teeth in place, including the gums, ligaments and jaw bone. It typically develops in stages:
- Gingivitis – Inflammation and redness of the gums, often reversible with treatment.
- Early Periodontitis – Slight loss of attachment between tooth and gum, sometimes with minor bone changes.
- Moderate Periodontitis – More pronounced bone loss, gum recession and tooth mobility.
- Advanced Periodontitis – Severe bone loss leading to loose teeth, infection and possible tooth loss.
As the disease progresses, it can cause significant pain and may also allow bacteria to enter the bloodstream, potentially affecting the heart, liver or kidneys.
Causes and Risk Factors
Periodontal disease is primarily caused by plaque — a sticky film of bacteria that forms on teeth. If plaque is not removed, it hardens into tartar, which irritates the gums and leads to inflammation and infection.
Factors that may increase the risk include:
- Breed predisposition — Small and toy breeds and dogs with a short-faced appearance are often more vulnerable.
- Age — Older pets are more likely to develop periodontal disease.
- Diet — Soft diest may encourage plaque accumulation.
- Lack of dental care — Without regular cleaning, plaque quickly builds up.
- Changes in saliva flow due to changes in the position of teeth
Recognising the Signs

This is the end stage of gum disease with enormous concretions of calculus and severe infections around the tooth's roots.
While periodontal disease can progress quietly, signs that may indicate a problem include:
- Bad breath
- Red or swollen gums
- Difficulty eating or chewing
- Loose or missing teeth
- Drooling or bleeding from the mouth
- Pawing at the face or signs of discomfort
Any of these symptoms should prompt further investigation.
This upper canine tooth has an infection around the root that has burst out on the side of the gum (parulis) and the tooth is highly modile due to damage by the infection to the support tissues
Diagnosis at Eastcott Referrals
Our thorough diagnostic approach includes:
- Detailed oral examination - Conducted under general anaesthesia for accuracy and comfort.
- Dental radiographs - Essential for detecting bone loss and hidden disease below the gumline.
- Periodontal probing - Measuring pocket depths to assess gum attachment.
- Advanced imaging where appropriate - for complex or severe cases.
By using these methods, we can fully assess the severity of disease and develop a targeted treatment plan.
Advanced Treatment Options
Our treatment plans are individually tailored and designed to restore oral health while maintaining comfort. Treatments may include:
Professional Cleaning
- Removal of plaque and tartar using ultrasonic and hand instruments
- Polishing to reduce future plaque build-up
Periodontal Surgery
- Root planing to clean infected root surfaces
- Gingival surgery to access deep pockets around the roots of teeth with the goal of reducing their depth
- Guided tissue regeneration to create new bone and ligament to repair damaged attachment, in certain cases
Tooth Extractions
- Where teeth are severely affected or loose, removal will relieve pain and stop the spread of infection
Our team is skilled in advanced surgical techniques to ensure minimal trauma and a smooth recovery.
The crowns of these teeth are being cleaned by ultrasonic scaling as a component of periodontal therapy
Post-Treatment and Long-Term Care
Ongoing care is essential for maintaining results and preventing recurrence. Following treatment, we provide:
- Pain relief medication as needed
- Recommendations for diet changes during recovery
- Tailored home dental care advice, including tooth brushing routines
- Advice on dental chews and oral hygiene products
- Regular follow-up appointments to monitor progress
By working closely with referring vets and pet owners, we help ensure excellent long-term outcomes.
Making a Referral
Veterinary professionals can refer patients with periodontal disease to Eastcott’s DOMS team using our simple online referral process. We are also happy to offer advice to referring vets about case management and decision making at any stage.
With a dedicated team and exceptional facilities, Eastcott Referrals is here to deliver the highest standard of dental care for pets from across the UK.
For further details or to refer a patient, please contact our Dentistry, Oral and Maxillofacial Surgery team directly.