Categories
CT And Surgery Of Dog With Recurrent Abcess – Foreign Body
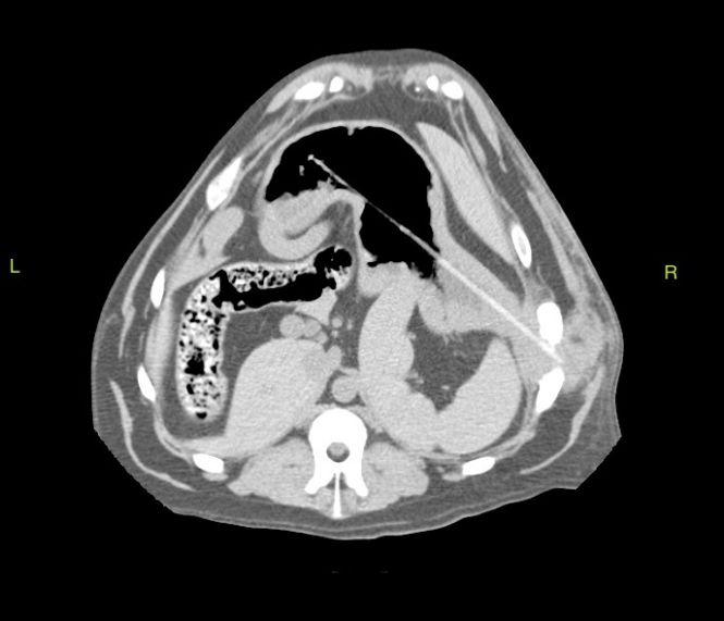
These are CT + intra-operative pictures of a dog who was referred to us with a recurrent abscess over the body wall. Although we have seen several foreign bodies in dogs migrate from the stomach to cause an abscess in this area, we weren’t expecting anything quite so long and pointy!

Transverse abdominal CT showing the wooden skewer within the stomach
Surgical removal of wooden BBQ skewer
Size comparison of wooden skewer removed
Tim Charlesworth MA VetMB DSAS(ST) MRCVS RCVS Recognised Specialist in Small Animal Surgery (Soft Tissue) removed the wooded BBQ skewer and the dog is currently recovering very well. This illustrates the advantages of CT as this foreign body did not show on x-ray.