Categories
Orthopaedics
Allie Celebrates ECVS Diplomate Status
Eastcott Blogs, Orthopaedics |
We’re delighted to announce that small animal surgeon Allie Matchwick has successfully passed her exams to achieve European College ...
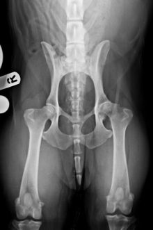
Gus is doing well following bilateral hip replacements
Eastcott Blogs, Orthopaedics |
It was great to see Gus back in the clinical last week for his x-rays 6 weeks after the ...
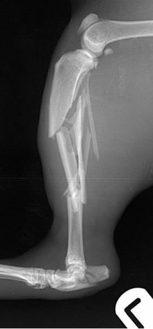
Treatment of a radius and ulna fracture in a Whippet
Orthopaedics |
By Eastcott Referrals Orthopaedic Surgeon Fabio Frazzica A 1-year-old female Whippet presented with a distal diaphyseal, simple, transverse, closed ...
Treating polytrauma in a cat during lockdown
Orthopaedics |
One March night, Max a young adventurous cat sadly did not return home Specialist in Small Animal Surgery Andrew ...
Treatment of concurrent Cranial Cruciate Ligament Rupture and Medial Patellar Luxation
Orthopaedics |
Treatment of concurrent Cranial Cruciate Ligament Rupture and Medial Patellar Luxation with a modified Tibial Plateau Levelling Osteotomy and ...
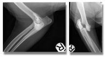
Proximal Abducting Ulnar Osteotomy (PAUL) in dogs
Orthopaedics |
By Eastcott Referrals Orthopaedic Surgeon Fabio Frazzica A common cause of canine thoracic limb lameness in patients that are ...
Pantarsal arthrodesis in a cat due to a chronic tarsal instability
Orthopaedics |
By Eastcott Referrals Orthopaedic Surgeon Fabio Frazzica A 6-year-old female domestic short-haired cat was referred to us with a ...
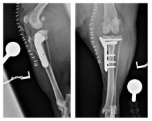
The use of a novel orthopaedic plate in the treatment of a fracture
Orthopaedics |
The use of a novel orthopaedic plate in the treatment of a fracture of the lateral part of the ...
Physiotherapist joins the team
Orthopaedics |
Alys Cooper BSc, PGDip, MSc joined the team in October and her skills are already being put to good ...
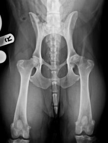
Total Hip Replacement Surgery
Orthopaedics |
Total hip replacement at Eastcott Referrals Swindon During the last 5 years, we have developed a well-established total hip ...
Why we use TPLO for treatment of cranial cruciate ligament disease
Orthopaedics |
Duncan Barnes Cruciate ligament disease is the most common orthopaedic problem encountered in dogs. The cranial cruciate ligament’s primary ...
Fabio Frazzica Joins the Orthopaedic Referral Team
Orthopaedics |
We are delighted to welcome Fabio Frazzica DVM CertAVP (GSAS) PgDip (VPS) MRCVS to the orthopaedic department. He is ...
Locking Compression Plate and PAX Advanced Locking systems
Orthopaedics |
Locking Compression Plate and PAX Advanced Locking systems with Andy Morris I have many interests within the field of ...
Expanding our Orthopaedics Team
Orthopaedics |
Expanding the Orthopaedic Referral Team Andy Morris BSc (Hons) BVSc CertAVP(GSAS) MRCVS RCVS Recognised Advanced Practitioner in Small Animal ...
Hip Replacement Surgery
Orthopaedics |
Total Hip Replacement Surgery in Dogs We are now offering total hip replacement using the well-developed and successful Biomedtrix ...
Duncan Barnes
Orthopaedics |
Congratulations to Duncan Barnes Duncan Barnes Vet Profile We are delighted to announce that, following examinations this summer, Duncan ...
Pantarsal arthrodesis in a Dog
Orthopaedics |
Pantarsal arthrodesis in a Greyhound dog using a dorsal plate for the treatment of a highly comminuted fracture of the ...
Hock Fracture Repair in Dog with Osteochondritis Dissecans
Orthopaedics |
Repair of hock fracture secondary to osteochondritis dissecans of the medial talar ridge This hock fracture was secondary to ...
Shoulder Arthrodesis Using CT Generated 3D Bone Model
Orthopaedics |
Shoulder arthrodesis in a miniature poodle using a CT generated 3D bone model A 9-year-old miniature poodle was referred ...
Bilateral PAX locking plate fixation in cat
Orthopaedics |
Treatment of a highly comminuted humeral condylar fracture in a cat using bilateral PAX locking plate fixation A cat ...
Osteochondritis dissecans in a Labrador retriever
Orthopaedics |
Arthroscopic treatment of shoulder osteochondritis dissecans in a Labrador Retriever A 7-month-old female Labrador retriever was referred with a ...
Securos PAX locking plate system in small animals
Orthopaedics |
Securos Pax locking plate used to repair comminuted tibial and calcaneal fractures in a cat We have introduced the ...