Categories
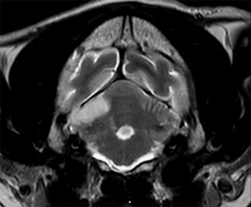
Kenji Nattress – Right cerebellar ischemic stroke
Kenji, a 14-year-old male Japanese Shiba Inu, presented to the neurology department at Eastcott following a hyperacute onset of inability to walk, severe left head tilt and left side rolling. He was neurolocalised in the central vestibular system and MRI documented changes consistent with an ischemic stroke affecting the right cerebellar hemisphere and interpositus nucleus. Kenji was hospitalized for supportive treatment during 5 days. A complete screening was realized to found the cause of the stroke, but all the results became unremarkable, showing that Kenji was healthy otherwise. He recovers completely after 2 weeks, and he is able to enjoy his life again.

