Categories
Splenectomy in the dog
Buster the Dog’s Massive Spleen
Splenectomy in the dog is commonly performed in general practice but I thought that we would share some pictures of a particularly impressive specimen!
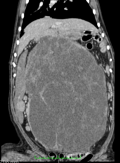
Buster is an 8 year old retriever who started to go off his food. Clinical examination soon identified a very large abdominal mass which was thought to be either hepatic or splenic in origin. Computerised Tomography (CT) was used to assess the organ of origin and to stage the tumour (i.e. assess for any metastasis) and no abnormalities were found other than a nodular, massively enlarged spleen.
Buster was considered to be at high risk of postoperative thromboembolism and so he was heparinised before being taken to surgery where, despite the size, a routine splenectomy was performed. Buster was discharged the following day and he is currently doing very well. The histopathology report has diagnosed benign nodular hyperplasia with no evidence of neoplasia in either the spleen or the harvested regional lymph nodes and so the long term prognosis for Buster is excellent!
Both hepatic and splenic masses can grow to massive sizes yet remain resectable. The prognosis will always depend on the eventual histological diagnosis but splenic masses such as Buster’s can be cured and dogs with solitary massive liver tumours can expect a median survival time in excess of 3 years. We would be more than happy to see and investigate any large (or small!) abdominal masses and resect them if at all possible.

Sagital and coronal reconstructed CT images showing a massive splenic mass occupying the majority of the dog’s abdominal cavity
The appearance of the dog’s splenic mass at surgery
The resected splenic mass (scalpel visible as scale)
by Tim Charlesworth
If you think you have a suitable case that you would like to refer, or if you would like any more information, please contact Tim Charlesworth MA VetMB DSAS(ST) MRCVS RCVS Recognised Specialist in Small Animal Surgery (Soft Tissue) on 01793 528341 or e-mail: Eastcott Veterinary Referrals
