Categories
Dog’s Double Op As Vets Urge Caution On Grass Seeds
Vets at Eastcott are urging dog owners to be aware of the dangers of grass seeds this spring after a young cocker spaniel needed extensive surgery when he became seriously ill after inhaling a small awn
One-year-old Arlo underwent operations to his chest and abdomen at to safely remove the seed and a large abscess it had caused.
Owner Tina Clark, from Chippenham, admitted she initially feared for her beloved pet’s life, however, the expertise of Small Animal Specialist Inês Gordo and fellow hospital team members has seen Arlo go on to make a full recovery from his ordeal.
Tina said: “When I first received the diagnosis I was devastated. I was heartbroken. Arlo was so young and I was worried I could lose him.
“But the care Ines and the Eastcott team, gave him was immense. They called me every day for an in-depth conversation regarding Arlo and his progress, and always treated me with empathy and understood my feelings.
“Arlo’s great again now, full of life and ready to learn. He is a working dog and we’ve just started his formal gun dog training, so the future for Arlo is wonderful. I’d definitely recommend Eastcott and am so grateful for the treatment they gave Arlo.”
Surgeon Ines is delighted by the news but said it was an extremely challenging case which needed a real team effort.
She explained: “Our investigations confirmed Arlo had a large abscess in his caudal thorax, associated with one of the lung lobes, which extended into the abdomen along the muscles below the spine.

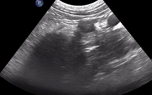
“When we performed a focal ultrasound of the area, we also found a foreign body (suspected to be a grass seed) at the very end of the abscess, close to the main vessels of the abdomen.
“As a result, Arlo required surgery to his abdomen and chest to treat the abscess and also remove the suspected foreign body.
“We adopted a multidisciplinary approach in order to perform such challenging surgery in both cavities and because the location of the grass seed was very close to the main vessels.
“Our anaesthesia team made a plan for a safe and long anaesthetic, two surgeons prepared for his exploratory sternotomy and laparotomy, and colleagues from diagnostic imaging came into theatre to help us localise the foreign body safely with ultrasound.

“The ultrasound meant we could see the foreign body which helped target the area and minimise surgical exploration in a very tricky spot, where some of the main abdominal vessels are situated.
“The foreign body was successfully extracted from the abdomen, and then the thoracic abscess was drained, and the affected lung lobe was removed with a stapling technique.
“Arlo was hospitalised in our intensive care unit for close monitoring and made a good recovery which saw him allowed home after a few days.”
Ines added that grass seeds can pose a risk to dogs as the weather improves and owners enjoy walks through meadows and fields.
She said: “We would always urge dog owners to be mindful of the risks of grass seeds when walking their dogs.
“It can be common for dogs to inhale grass seeds but if a dog begins coughing shortly after running through fields and meadows, we would encourage owners to take them to their vets for a precautionary check.”