Categories
Emergency Surgery Saves the Life of Riley, After Rare Liver Condition

Riley, a 12-year-old golden retriever needed emergency surgery after being diagnosed with a rare liver condition.
The treasured family pet had collapsed at home and local vets quickly referred him to us for specialist care.
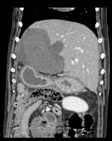
A CT scan revealed Riley was suffering from two liver lobe torsions (LLT), an extremely rare complaint in animals and especially in dogs.
Eastcott Internal Medicine expert Gerard Olivares, a European Specialist in Internal Medicine, took charge of the dramatic multidisciplinary case and successfully operated to remove both torsed liver lobes.
Gerard said: “Riley arrived at Eastcott as an emergency admission after collapsing at home earlier in the day.
“We knew at this point Riley had a haemoabdomen (blood in the abdomen) and abdominal pain, following the investigations at Drove Vets.

“Riley was stabilised with the help of our anaesthesia team and underwent a CT scan. We the assistance of our imager on duty, we diagnosed Riley with torsion of two of his liver lobes.
“This is a relatively uncommon and life-threatening disease in dogs but, when diagnosed early, can carry a very good prognosis.
“He was taken straight to theatre for an emergency surgery, where the torsed liver lobes were removed by our surgeons.
“Riley was then kept in our Intensive Care Unit for initial recovery, but despite his age, recovered swiftly and was discharged after 48 hours.
“We re-examined him two weeks after the procedure and his wounds had healed uneventfully and the owners report he was already getting back to his usual self.”
Riley’s owner Ceri Roberts, from Calne in Wiltshire, was delighted with her retriever’s remarkable recovery, even though she had to deal with the whole drama while she was abroad in Egypt.
Ceri’s mum, Gillian Burgess, from Blunsdon, was looking after Riley at the time and, luckily, is part of the client care team at Drove Vets in Marlborough, so was alert to Riley’s need for urgent attention.
Gillian explained: “I took Riley for a walk but he stayed walking very slowly behind, not interested in anything, not even his dog treats.
“He was very lethargic. I checked his gums and they were white so I took him straight to Drove Vets where vet Hannah McNicholas examined him.

“Blood tests and an ultrasound were performed. The scan was inconclusive, but the bloods showed there was an issue and a syringe full of bloody fluid was removed from his abdomen.
“When Hannah discussed a referral to Eastcott, I jumped at the chance but when Gerard called later to say Riley had a liver torsion it was a great shock to the family.
“We were very concerned, especially with the increased worry due to the rarity of such a thing and Riley’s age, added to the fact that my daughter was in Egypt and Riley is her dog!
“The care was exceptional, though. We were kept fully informed at all times throughout his admission, surgery and beyond, including Gerard taking the time to talk to Ceri in Egypt at the initial consultation, as she obviously had lots of questions.
“All of this care went above and beyond our expectations and I would definitely recommend Eastcott Referrals to other pet owners.
“Riley has made a terrific recovery, you wouldn’t know what he had been through. He is totally back to normal again and we’re all very grateful.”