Categories
Life’s Looking “Rosie” After Brain Tumour Removed
A much-loved golden retriever who had a brain tumour removed is now completely cancer free thanks to our Neurology team.
Often, when a brain tumour is removed, tiny remnants can remain after surgery which, over time, sees the tumour regrow and eventually cause future problems.
However, our neurology team successfully removed all of the tumour from five-year-old Rosie, with no sign of it regrowing.
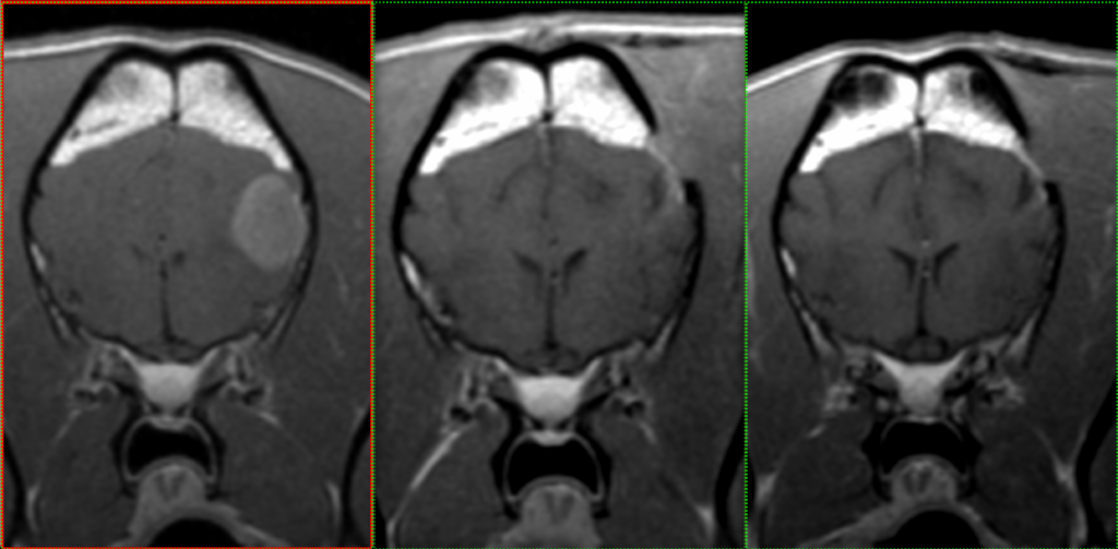
Initially, Rosie had a meningioma diagnosed in 2021. Following the diagnosis, Rosie had the tumour, which measured 1.5cm x 1.5cm, removed from her frontal lobe in December that year and has gone from strength-to-strength following the operation.
Head of Neurology, Tom Shaw said: “It was a pleasure to tell an owner that we appear to have cured their dog of a brain tumour.

“When a brain tumour is removed we normally expect that very small tumour remnants remain and for the tumour to eventually regrow.
“Rosie has had follow up MRI scans and after 18 months there is no sign of it regrowing so we appear to have removed all of it. It’s a great result for Rosie and her owners.
“The neurology team at Eastcott always strives for the best outcome for its patients and Rosie shows how even the most upsetting diagnosis can have a happy ending.”

Rosie’s grateful owner, Sue Hodder who lives near Salisbury, said: “On her initial admission to Eastcott, Rosie underwent a variety of tests including an MRI which revealed a massive left frontal lobe brain tumour.
“Rosie stayed two days in ITU and was discharged with a prognosis which was not very encouraging. We were devastated as she was only five years old.
“However, since the operation Rosie hasn’t had a seizure. The care we received from Eastcott was exemplary. They gave us our dog back which we were so close to losing.”